Curious Kids: Wie kann man mit Röntgenstrahlen ins Innere sehen?
Dies ist ein Artikel aus Curious Kids, einer Serie für Kinder. The Conversation bittet Kinder, Fragen einzuschicken, die sie gerne von einem Experten beantwortet haben möchten. Alle Fragen sind willkommen – ernsthafte, seltsame oder verrückte!
Wie kann man mit Röntgenstrahlen das Innere eines Menschen sehen? – Eva, 9 Jahre aus Marrickville
Hast du schon mal mit Schattenpuppen gespielt, um Schattenbilder an die Wand zu malen? Wenn du das machst, hält deine Hand die Lichtstrahlen der Lampe auf, die die Wand erreichen. Röntgenbilder sind ein bisschen so.

Versuchen Sie, eine Taschenlampe an Ihre Hand zu halten und zu sehen, wie etwas Licht durch die Haut Ihrer Finger dringt.
Einiges Licht scheint nicht durch. Das liegt daran, dass ein Teil der Energie aus dem Strahl entfernt wurde und ein Teil den Weg durch deine Haut geschafft hat und du ihn sehen kannst.
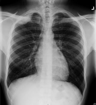
Röntgenstrahlen sind wie Lichtstrahlen, aber der Unterschied ist, dass sie mehr Material durchdringen können. Haut und Fett blockieren nicht viel von der Energie des Röntgenstrahls. Muskeln blockieren mehr, aber noch mehr Energie wird von Knochen blockiert, weshalb man Knochen auf Röntgenbildern so deutlich sehen kann.
Ein Röntgenbild zeigt Grautöne, die zeigen, wie viel des Röntgenstrahls durch den Körper gelangt. Wenn der Teil sehr dicht ist (wie Knochen), erscheint er weiß, wenn er weniger dicht ist (wie die Lunge), erscheint er in einem dunkleren Grauton.

Radiographen (die Leute, die an den Röntgengeräten arbeiten) können die Menge und Stärke des Röntgenstrahls steuern (so wie man Licht schwächer oder heller machen kann), damit die Körperteile, die sie sehen wollen, auf den Bildern erscheinen.
Röntgenstrahlen werden in Krankenhäusern eingesetzt, um viele Verletzungen und Krankheiten zu diagnostizieren und zu behandeln. Röntgenassistenten verwenden Röntgenbilder im Operationssaal, um die Chirurgen zu unterstützen. Es gibt auch eine spezielle Art von Scan, den CT-Scan. Bei CT-Scans werden viele Röntgenbilder verwendet, um fantastische 3D-Bilder des Körpers zu erstellen.
Zu viele Röntgenaufnahmen können gefährlich sein. Sie können die Zellen in deinem Körper schädigen (deshalb verlässt der Röntgenassistent den Raum, während du geröntgt wirst). Die Menge an Röntgenstrahlen, die für jede Aufnahme verwendet wird, ist jedoch winzig. Wenn Ihr Arzt also meint, dass Sie eine Röntgenaufnahme brauchen, machen Sie sich keine Sorgen.
Manchmal ist die Schädigung von Zellen eine gute Sache; bei einer Behandlung namens Strahlentherapie werden Röntgenstrahlen eingesetzt, um schlechte Zellen (wie Krebszellen) abzutöten.
Wussten Sie das?
Röntgenstrahlen wurden im November 1895 von dem deutschen Physiker Wilhelm Roentgen entdeckt – aus Versehen! Er führte ein Experiment durch und war überrascht, als ein Bildschirm auf der anderen Seite des Labors leuchtete.
Wilhelm fand heraus, dass dies durch unsichtbare Strahlen verursacht wurde, hatte aber keine Ahnung, worum es sich dabei handelte. Deshalb heißen sie ja auch Röntgenstrahlen, wobei „x“ für „Ich weiß es nicht“ steht!
Hallo, neugierige Kinder! Habt ihr eine Frage, die ihr von einem Experten beantworten lassen wollt? Bitte einen Erwachsenen, deine Frage an uns zu schicken. Du kannst:
* Schicke deine Frage per E-Mail an [email protected]
* Teile sie uns auf Twitter mit, indem du @ConversationEDU mit dem Hashtag #curiouskids taggst, oder
* Teile sie uns auf Facebook

Bitte gib uns deinen Namen, dein Alter und die Stadt an, in der du wohnst. Du kannst auch eine Audioaufnahme deiner Frage schicken, wenn du möchtest. Schicken Sie so viele Fragen, wie Sie möchten! Wir werden nicht alle Fragen beantworten können, aber wir werden unser Bestes tun.