White sponge nevus
BY NANCY W. BURKHART, BSDH, EdD
White sponge nevus é um componente de doença de um grupo de doenças hereditárias que produzem uma aparência branca, bilateral, queratinizada, tipicamente aparecendo na mucosa bucal. O termo usado para este tipo de lesão induzida geneticamente dentro da família das lesões brancas é genoqueratose. O nevo esponjoso branco (WSN) é uma doença autossômica dominante que é causada pela mutação de certos genes de queratina.
Keratina é a proteína estrutural das células epiteliais. Existe um defeito na queratinização normal (queratina 4 e queratina 13) que é expresso nos queratinócitos suprabasais da mucosa vestibular, nasal, esofágica e do tecido anogenital. A desordem também é mais comumente conhecida como displasia da mucosa branca familiar, leucoqueratose hereditária, leucoedema esfoliante, e como doença de Cannon (descrita em 1909 por Hyde e denominada em 1935 por A. B. Cannon).
Embora o diagnóstico seja geralmente feito na infância, os pacientes podem apresentar uma forma mais branda em seus primeiros anos de vida, e a desordem pode ser diagnosticada no adulto muito mais tarde. Embora rara, ocorrendo em menos de 1 em 200.000, nos últimos anos as famílias se tornaram mais conscientes da ligação genética com a RSSF. Com a melhoria das histórias de saúde pediátrica, o fator genético é geralmente reconhecido no início da vida.
Aspecto clínico: O paciente exibirá placas brancas pesadas principalmente na mucosa vestibular e labial assintomática. As placas brancas também podem aparecer no chão da boca, língua e mucosa alveolar com ocorrência rara no palato. O tecido pesado e espessado pode comprometer a mastigação. Áreas menos comuns, como mucosa nasal, esofágica, laríngea e anogenital podem ser afetadas.
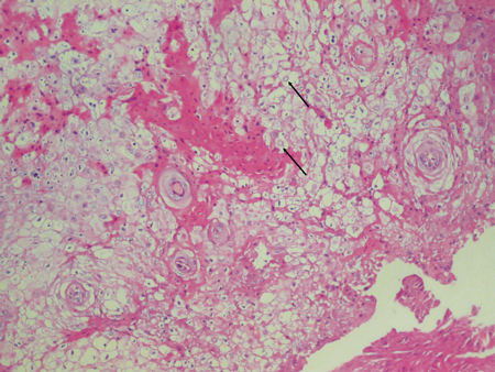
Quando visto microscopicamente, o tecido apresenta acantose ou um espessamento pesado da camada de células pickle do epitélio. Isto promove a aparência branca espessa que é muito característica do WSN. Outra característica observada é a limpeza citoplasmática das células epiteliais que um patologista reconhecerá.
Diagnóstico diferencial: O clínico inicialmente descartaria:
– Leucoplasia
– Leucoedema
– Lichen planus
– Danos ao tecido relacionados ao tabaco, como tabaco cuspido e betel quid
– Queimaduras químicas e queimaduras relacionadas à temperatura
– Candidíase confirmada através de cultura (com Candida albicans, o clínico é capaz de limpar a placa branca do tecido, mas a WSN não limpará com gaze)
– Morsicatio buccarum (questione cuidadosamente o paciente quanto a este hábito)
– Disqueratose intra-epitelial benigna hereditária (síndrome de Witkop-von Sallman)

-Nevo Esponja Branco. Cortesia de Doron Aframian, DMD, PhD.
Outras lesões brancas que podem ser descartadas após uma revisão completa da história de saúde incluiriam queratose de rapé e fibrose submucosa oral. Como ambos são relacionados ao tabaco, o questionamento cuidadoso do paciente deve determinar se esses hábitos estariam no topo da sua lista diferencial.
Embora as considerações acima sejam provavelmente as mais lógicas, o câncer oral nunca deve ser descartado até prova em contrário. Uma biópsia é sempre necessária em casos não confirmados para descartar malignidade e outras desordens mencionadas anteriormente.
Uma perspectiva de medicina oral: Quando um diagnóstico definitivo é feito de WSN, o prognóstico é excelente e nenhum tratamento adicional é necessário para as lesões orais. A intervenção pode ocorrer se o tecido estiver tão espesso ou denso que comece a afetar a mastigação do paciente.



Imagens cortesia de Murat Songu, MD, departamento de otorrinolaringologia, Dr. Behcet Uz Children’s Hospital em Izmir, Turquia.
Alguns tratamentos relatados na literatura que mostraram melhora em alguns pacientes são várias vitaminas, anti-histamínicos, enxaguamentos bucais com clorexidina, alguns antibióticos, e nistatina. No entanto, estes resultados têm sido muito limitados e benéficos apenas para pacientes selecionados. Alguns pesquisadores acreditam que os tecidos alterados tornam os fungos e bactérias mais persistentes e abrigados nos tecidos.
Então, se a condição é totalmente benigna, por que o profissional dentário deve se preocupar com o aspecto clínico do nevus da esponja branca? A condição é frequentemente mal diagnosticada, levando a tratamentos desnecessários.
Em alguns pacientes, o diagnóstico errado leva a cirurgias desnecessárias. As crianças têm sido tratadas para candidíase com medicamentos antifúngicos, a fim de tratar as placas brancas. Quando as áreas não diminuem, normalmente são realizados mais testes e, por fim, é descoberto que se trata de nevus de esponja branca. Relatos de adultos mais velhos são discutidos na literatura, e estes pacientes podem não saber que as placas brancas são nevus de esponja branca. Nos adultos, há frequentemente uma queixa dos problemas estéticos envolvidos com a aparência da língua, lábios ou outro tecido oral que é visível para outros. Há também uma alteração na textura dos tecidos, pois a espessura pode aumentar com o tempo.
Desde que o WSN é geralmente diagnosticado na infância, o clínico pode nem mesmo considerar que o paciente adulto pode estar exibindo sinais de WSN. Um histórico de saúde detalhado, conhecimento de possíveis etiologias e habilidades de escuta atenta ajudarão no curso de ação correto para o médico.
Como sempre, continue fazendo boas perguntas e escute sempre os seus pacientes. RDH
1. DeLong L, Burkhart NW. Patologia Geral e Oral para o Higienista Dentário. 2ª Edição. 2013; Wolters Kluwer Health:Lippincott Williams & Wilkins, Baltimore.
2. Dadlani C, Mengden S, Kerr AR. (2008) White sponge nevus. Dermatology Online Journal, 14(5). Obtido de: http://escholarship.org/uc/item/768308n1
3. Pinto A, Haberland CM, Baker S. Dent Clin North Am 58(20: (2014) 437-453.
4. Songu M, Adibelli H, Diniz G. (2012), White sponge nevus: Clinical suspicion and diagnosis. Pediatr Dermatologia, 29(4): 495-497. doi: 10.1111/j.1525-1470.2011.01414.x
5. Vucicevic-Boras V, Cekic-Arambasin A, Bosnjak A. White Sponge Nevus. Acta Stomat Croat: Case Report 2001;291-292.
NANCY W. BURKHART, BSDH, EdD, é professor associado adjunto no departamento de periodontia, Baylor College of Dentistry e no Texas A & M Health Science Center, Dallas. Dr. Burkhart é fundador e coadjuvante do Grupo Internacional de Apoio ao Líquen Plano Oral (http://bcdwp.web.tamhsc.edu/iolpdallas/) e co-autor de Patologia Geral e Oral para o Higienista Odontológico. Ela foi vencedora do prêmio Crest/ADHA 2006. Ela é Mentor de Distinção em 2012 através da Philips Oral Healthcare e PennWell Corp. Seu site para seminários sobre doenças da mucosa, câncer oral e tópicos de patologia oral é www.nancywburkhart.com. Ela pode ser contatada em [email protected].